標籤:膝蓋 列表

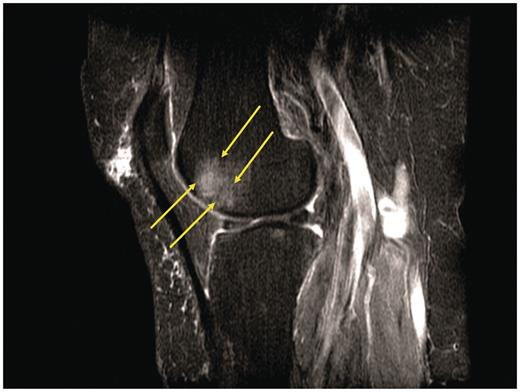
img-【新知】膝蓋退化為什麼會痛?

【新知】膝蓋退化為什麼會痛?

王思恒

2021-06-21 04:01:42

軟骨本身是無神經、無血管的組織,理論上不會感覺「痛」,那膝蓋退化為何會痛呢?

)

【前十字韌帶】韌帶斷裂怎麼辦?

許家齊

2022-01-11 15:03:54

受傷時感覺或聽到膝蓋有啪的聲音。

【分享】彈力帶的優勢與應用

藍毓雯

2022-02-16 15:11:41

疫情來襲減少外出活動,運動量隨之下降 ,在家就能做訓練!!

【膝蓋】髕骨疼痛症候群二三事

鄭均瑀

2022-03-19 14:47:30

膝蓋感覺卡卡,發出喀拉聲?爬個樓梯、跳躍、蹲下也會覺得膝蓋疼痛?

【分享】認識骨質疏鬆

劉瑞德

2023-03-29 11:28:53

骨質疏鬆是一種骨骼疾病,主因是骨頭中的礦物質流失使骨骼強度降低,導致骨折的風險大大提升,尤其在脊椎、髖關節、腕關節等部位最常發生。

許多家長會擔心太早訓練容易影響發育,事實上是這樣嗎?

恆新健康

2023-06-12 09:28:05

阻力訓練能幫助青少年增強他們的肌肉量、骨骼健康、手腳協調能力,對於身體的發育、運動表現、減少運動傷害和提高自信心都具有正向的影響,但常見的迷思有哪些呢?讓我們來為您解答吧!

淺談十字韌帶(Cruciate Ligament)

恆新健康

2023-07-24 19:42:49

大家知道掌握膝關節移動及旋轉的穩定樞紐是什麼嗎?答案就是十字韌帶!

淺談「髕骨股骨疼痛症候群」(Patellofemoral Pain Syndrome)

恆新健康

2023-08-22 18:03:53

各位是否聽聞過「髕骨股骨疼痛症候群」呢?明顯的症狀有哪些呢?

淺談「跳耀膝(髕骨肌腱炎)」(Jumper Knee)(Patella tendonitis)

恆新健康

2023-08-22 18:11:02

運動員最害怕的「跳躍膝」,你是否聽過呢?主要症狀有哪些?

淺談「髂脛束症候群」(Iliotibial Band Syndrome)

恆新健康

2023-08-22 18:13:52

關於「髂脛束症候群」大家了解多少呢?好發族群有哪些呢?

「髕骨肌腱炎」有哪些緩解方式呢?

恆新健康

2023-09-05 16:21:21

先前曾經介紹過關於「髕骨肌腱炎」,也可稱為「跳躍膝」,發炎的時候有哪些緩解疼痛的方式呢?

淺談「膝關節不穩定」

恆新健康

2023-09-18 20:54:13

什麼叫做「膝關節不穩定」呢?

淺談「膝關節炎(Knee Osteoarthritis)」

恆新健康

2023-09-25 20:42:07

關於「膝部關節炎」,會對我們會帶來哪些影響呢?

淺談「關節炎術後復健」的重要性

恆新健康

2023-10-03 21:00:49

關節炎術後的首要任務-讓自己變得更加強壯!

「十字韌帶斷裂」,是否該進行手術?

恆新健康

2023-11-15 22:05:49

關於「十字韌帶斷裂」,雖並非每個個案都需立即進行手術,經由專業醫師的判斷才可給予最適當的治療計畫!